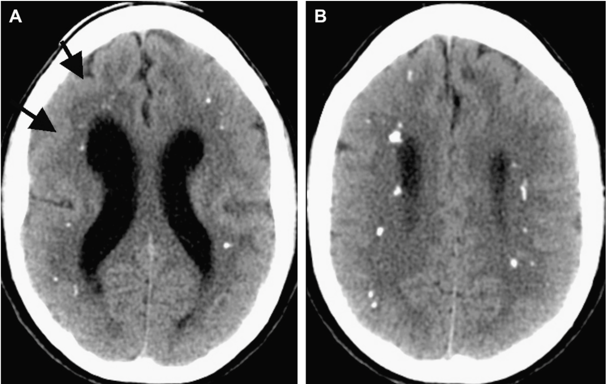
미 전역에서 최근 어린이 환자의 세균성 뇌질환 감염이 늘어나는 것이 코로나19와 관련 가능성이 높다는 연구결과가 나왔다. 질병통제예방센터 CDC가 지난 5일 발표한 질병 및 사망률 주간 보고서(Morbidity and Mortality Weekly Report- 원문클릭)에 따르면 미시건 어린이 병원에서 코로나19 펜대믹 중 세균성 뇌감염 소아환자가 236% 증가했다. 이들 대부분은 12세 미만 유아 및 어린이게서 발생했으며 이들 중 상당수가 SARS-CoV-2 바이러스 감염됐다.
CDC와 연구진들은 코로나 19 팬데믹 초기 2년 동안(2020년 3월 ~ 2022년 3월) 유사한 사례가 발생했는지 확인하기 위해 약 2,800개 감염병 네트워크인 미국 감염네트워크를 통해 설문조사를 실시했다. 연구진들은 109개 병원을 조사한 결과 47개(43%) 병원에서 코로나19 팬데믹 2년동안 18세 미만 환자에게게서 머리 안쪽에서 세균감염 증가가 관찰됐다고 보고했다.
이같은 사례를 통해 미국감염네트워크 연구진은 코로나19 바이러스가 면역체계를 약화시켜 구강내에 있던 박테리아가 뇌로 이동 했을 가능성에 주목하고 머리내 세균성 뇌질환이 코로나19와 연관이 있다는 가설을 제시했다.
가설을 제시한 연구진들은 “뇌감염 증가는 어린이들이 코로나19 감염이후 정상적 치료를 받지 못했거나 백신접종을 하지 않았기 때문일 수 있”면서 “자녀들에게서 이유없는 두통이 생기거나 행동변화를 보일경우 소아과 전문의를 찾아야 한다”고 조언한다.
안미향 기자 텍사스N








![[속보] 달라스 한인타운 한인미용실 ‘헤어월드’ 총기난사](https://texasnarchive.com/wp-content/uploads/2022/05/CC6BAD46-AF55-4C8D-B417-A54382F2D733-120x86.jpeg)
![[1보] 달라스 한인타운 한복판에서 총격 … 해피데이 한인 여주인 사망](https://texasnarchive.com/wp-content/uploads/2023/04/Screen-Shot-2023-04-04-at-12.11.34-PM-120x86.png)
![[단독 1보] 영일만 유전 조사했다는 세계적인 심해평가기관 , 1인 기업에 주소는 자택](https://texasnarchive.com/wp-content/uploads/2024/06/Screenshot-2024-06-03-at-2.35.57 PM-120x86.png)



![[속보] 달라스 경찰국 브리핑 … “증오범죄 맞다”](https://texasnarchive.com/wp-content/uploads/2022/05/7CBB4A96-8B9B-40E4-871C-6C2B359E9DA8-120x86.jpeg)




